Maintaining good oral health is crucial, and one common issue many face is the formation of calcium deposits on teeth. These deposits, also known as tartar or calculus, can lead to various dental problems if not addressed properly.
Almost all the calcium in our body is used by our bones and teeth, but when it builds up on the surface of our teeth, it can harden into unsightly and problematic deposits. Understanding the causes, remedies, and prevention methods is essential for a healthy smile.
We’ll explore the impact of these deposits on oral health and discuss professional treatments and home remedies to remove and prevent them. For more health insights, visit zenfitpulse.com.
Key Takeaways
- Understanding the causes of calcium deposits on teeth.
- Exploring professional treatments for removing tartar.
- Learning home remedies to prevent calcium deposits.
- Discovering the importance of oral hygiene in preventing deposits.
- Recognizing when to seek professional dental care.
Understanding Calcium Deposits on Teeth

One of the key factors in oral health is understanding how calcium deposits form on teeth and how they can be prevented. We will delve into the nature of these deposits and their impact on our dental well-being.
What Are Calcium Deposits?
Calcium deposits on teeth, commonly referred to as tartar or calculus, are hardened forms of plaque that contain calcium and phosphate minerals from saliva. These deposits begin as soft, sticky plaque – a biofilm containing bacteria, food particles, and saliva.
How Calcium Deposits Form
The formation of calcium deposits occurs when plaque isn’t removed promptly through regular brushing and flossing, allowing it to harden into tartar. This process can start in as little as 48 hours, highlighting the importance of good oral hygiene practices.
Plaque vs. Tartar: The Progression
The progression from plaque to tartar is a significant concern because while plaque can be removed with regular oral hygiene, tartar requires professional dental cleaning. Tartar buildup can lead to enamel erosion and increase the risk of tooth decay.
As “The Journal of Clinical Dentistry” notes, “Tartar buildup is a major risk factor for periodontal disease, emphasizing the need for regular dental check-ups.”
Identifying Calcium Deposit on Tooth

Understanding how to identify calcium deposits on your teeth can help prevent oral health issues. We will guide you through the visual cues and common locations of these deposits.
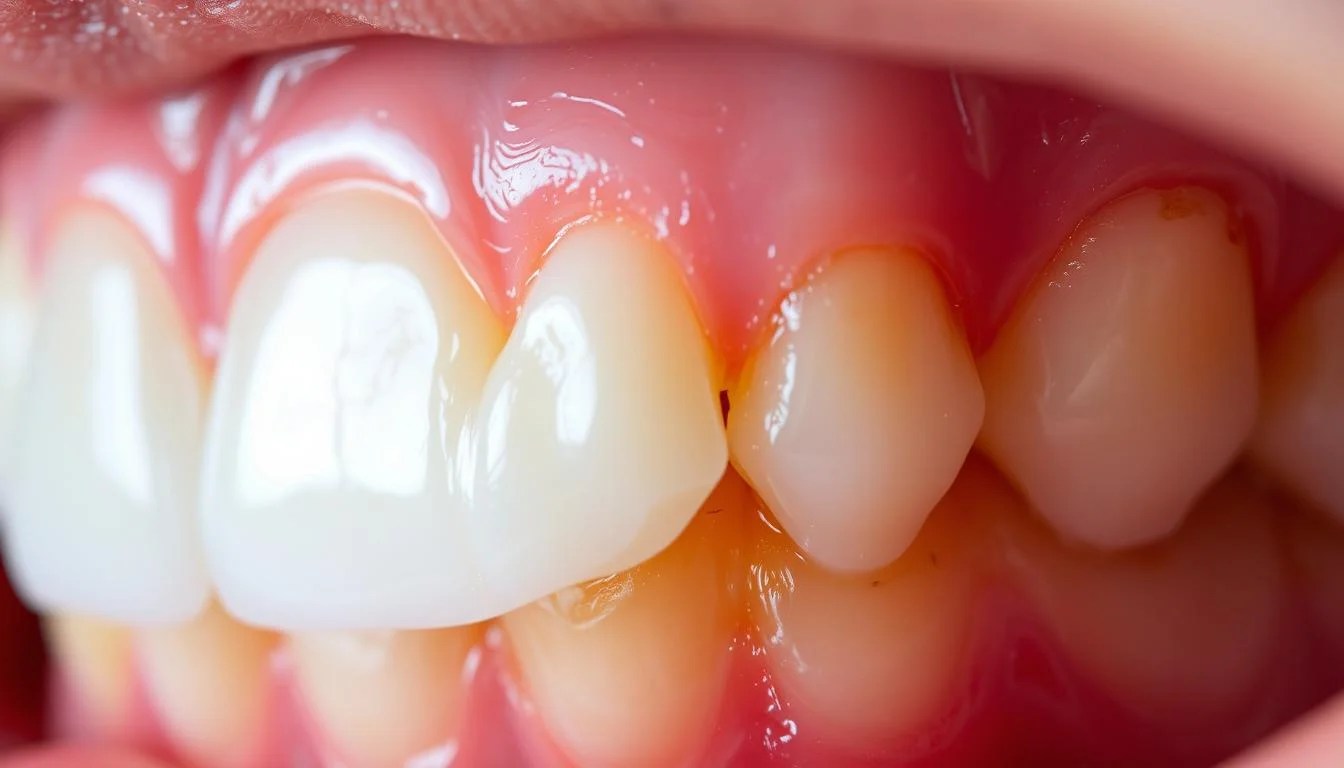
Visual Appearance and Characteristics
Calcium deposits on teeth typically appear as yellowish, tan, or brown stains. Initially, they might look like a white, chalky substance before hardening into tartar. The texture is often rough, which can be felt with the tongue.
Common Locations for Deposits
These deposits commonly form along the gumline, between teeth, behind lower front teeth, and on the outer surfaces of upper molars near salivary gland openings. Regular inspection of these areas can help in early detection.
When to Seek Professional Help
If you notice visible buildup, persistent bad breath, tender or bleeding gums, or increased tooth sensitivity, it’s time to consult a dentist. Any pain, swelling, or signs of infection associated with calcium deposits require immediate attention.
Common Causes of Dental Calcification
Understanding the causes of dental calcification is crucial for maintaining good oral health. Dental calcification occurs when calcium deposits form on the teeth, potentially leading to various oral health issues.
Poor Oral Hygiene Practices
Inadequate oral hygiene is a primary cause of calcium deposits. Infrequent or improper brushing and flossing allow plaque to accumulate and harden into tartar, which is a significant contributor to dental calcification. Regular brushing and flossing are essential to prevent plaque buildup.
Dietary Factors
Diet plays a significant role in the formation of calcium deposits. Consuming diets high in sugars, starches, and acidic foods promotes bacterial growth and plaque formation, increasing the risk of dental calcification. A balanced diet is crucial for maintaining healthy teeth and preventing calcium buildup.
Medical Conditions That Contribute
Certain medical conditions can increase the risk of calcium deposits. Conditions such as dry mouth (xerostomia), autoimmune disorders, and those affecting calcium metabolism can contribute to dental calcification. Additionally, hormonal changes during pregnancy, puberty, or menopause can affect oral health.
Genetic Predisposition
Genetic factors can predispose individuals to more rapid tartar formation or enamel defects like hypocalcification, where teeth have insufficient calcium in the enamel. Understanding genetic risks can help in taking preventive measures.
| Cause | Description | Impact on Oral Health |
|---|---|---|
| Poor Oral Hygiene | Infrequent brushing and flossing | Increased plaque and tartar buildup |
| Dietary Factors | High sugar, starch, and acidic food consumption | Promotes bacterial growth and plaque formation |
| Medical Conditions | Dry mouth, autoimmune disorders, etc. | Increases risk of calcium deposits |
| Genetic Predisposition | Enamel defects, rapid tartar formation | Predisposes to dental calcification |
By understanding these causes, individuals can take proactive steps to prevent dental calcification and maintain good oral health. Regular dental check-ups and a balanced diet are key components of a healthy oral hygiene routine.
Professional Methods to Remove Calcium Deposits
Calcium deposits on teeth can be challenging to remove, but there are several professional methods that can help. When these deposits, also known as tartar, form on your teeth, they can lead to various oral health issues if not addressed properly.
Effective Removal Techniques
Your dentist or dental hygienist may use a scaler and curette, two tools used to remove calcium deposits or tartar from your teeth. Because calcium deposits are harder than the film that forms on your teeth every day, ordinary brushing doesn’t remove it at all.
A dentist or hygienist will use the scaler to gently scrape against your teeth to remove the discoloration. Another tool your dental office might use is an ultrasonic scraper, an instrument that vibrates at a very high rate. It also shoots a gentle stream of water to remove the tartar from your mouth.
Dental Scaling and Root Planing
Dental scaling is a procedure where dentists use specialized hand instruments called scalers and curettes to carefully scrape away tartar from tooth surfaces and below the gumline. This process is crucial for removing calcium deposits that have built up.
Root planing is a deeper cleaning procedure that smooths the tooth root surfaces to remove embedded tartar and help gum tissue heal when deposits have caused gum disease.
Ultrasonic Cleaning Techniques
Ultrasonic cleaning techniques use high-frequency vibrations and water spray to break up and flush away calcium deposits more comfortably and efficiently than manual scaling alone. This method is particularly effective for removing stubborn tartar buildup.
What to Expect During Professional Cleaning
During a professional cleaning appointment, you can expect the dentist or hygienist to use one or both of these methods, depending on the extent of the calcium deposits. The typical duration of the appointment can vary, but it usually ranges from 30 minutes to an hour.
You might feel some sensations during the procedure, but most dental offices use local anesthesia for comfort during more extensive deposit removal, especially when cleaning deep below the gumline.
| Procedure | Description | Benefits |
|---|---|---|
| Dental Scaling | Removing tartar from tooth surfaces and below the gumline | Effective for removing calcium deposits |
| Root Planing | Smoothing tooth root surfaces to remove embedded tartar | Helps gum tissue heal, prevents further buildup |
| Ultrasonic Cleaning | Using high-frequency vibrations and water spray to remove deposits | Comfortable, efficient, and effective for stubborn tartar |
Professional cleanings are recommended based on an individual’s propensity for calcium deposit formation, typically ranging from every three to six months. By maintaining regular dental check-ups, you can prevent the buildup of calcium deposits and keep your teeth healthy.
Effective Home Remedies for Calcium Deposits

While professional dental cleaning is essential, there are several effective home remedies that can help prevent calcium deposits on teeth. These remedies focus on maintaining good oral hygiene and making dietary adjustments to reduce the risk of calcium buildup.
Proper Brushing and Flossing Techniques
Brushing your teeth at least twice a day with a soft-bristled toothbrush and fluoride toothpaste is crucial. Pay special attention to the gumline, where calcium deposits often begin to form. Daily flossing is also vital as it cleans between teeth where a toothbrush cannot reach, preventing interproximal calcium deposits.
Beneficial Mouthwashes and Rinses
Using antimicrobial mouthwashes can help reduce bacteria in the mouth, which contribute to plaque and tartar formation. Additionally, tartar-control mouthwashes can prevent calcium deposits from hardening.
Dietary Adjustments That Help
A healthy diet plays a significant role in preventing calcium deposits. Limiting sugary and acidic foods can help, while increasing calcium-rich foods can strengthen teeth. Drinking plenty of water helps maintain saliva flow, which naturally cleanses the mouth.
Potential Complications of Untreated Calcium Deposits
If left untreated, calcium deposits on teeth can lead to a multitude of oral health issues. These deposits can cause significant problems, ranging from aesthetic concerns to serious health risks.
Gum Disease and Inflammation
Calcium deposits along the gumline can irritate gum tissue, leading to inflammation, bleeding, and eventually gingivitis, an early stage of gum disease. This inflammation is the body’s response to the bacteria that accumulate on the deposits.
Tooth Decay and Cavities
Bacteria trapped in calcium deposits produce acids that can erode tooth enamel, leading to tooth decay and cavities, even in areas that appear clean. This process can compromise the integrity of the tooth structure.
Long-term Oral Health Impacts
Persistent calcium deposits can contribute to periodontitis, an advanced form of gum disease that damages the soft tissue and bone supporting the teeth, potentially leading to tooth loss. Moreover, research links chronic oral inflammation from untreated deposits to increased risks of heart disease and diabetes complications. Extensive calcium deposits can also affect aesthetics, causing tooth discoloration.
Treating calcium deposits early is more cost-effective than addressing the complications that arise from neglect, which may require extensive restorative procedures. Regular dental check-ups and good oral hygiene practices are crucial in preventing these issues.
Prevention Strategies for Calcium Deposits

The key to avoiding the troubles associated with calcium deposits lies in prevention, which encompasses daily hygiene practices, dietary changes, and professional dental care. By adopting a proactive approach, individuals can significantly reduce the risk of developing these deposits.
Daily Oral Hygiene Best Practices
Effective daily oral hygiene is crucial in preventing calcium deposits. This includes brushing twice daily with a fluoride toothpaste, flossing once a day to remove plaque and food particles, and using an antimicrobial or tartar-control mouthwash to further reduce plaque and bacteria. Proper technique is essential for maximizing the effectiveness of these practices.
Regular Dental Check-ups
Regular visits to the dentist are vital for maintaining good oral health and preventing calcium deposits. It is recommended to have a professional dental cleaning and checkup every six months, or more frequently if prone to rapid tartar buildup. These visits help in early detection and removal of plaque and tartar.
Preventative Dental Treatments
Certain dental treatments can help prevent calcium deposits. Dental sealants can be applied to teeth to protect them from plaque and bacteria, while professional fluoride applications can strengthen tooth enamel, making it more resistant to decay and deposits.
Lifestyle Changes for Better Oral Health
Making lifestyle changes can also play a significant role in preventing calcium deposits. This includes reducing sugary and acidic foods in the diet, quitting smoking, and staying properly hydrated. These changes can help in maintaining a healthy oral environment and reducing the risk of tartar buildup.
By combining good oral hygiene practices, regular dental check-ups, preventative treatments, and healthy lifestyle choices, individuals can effectively prevent calcium deposits and maintain a healthy, beautiful smile.
Conclusion: Maintaining Healthy Teeth Free from Calcium Deposits
Maintaining a healthy, calcium deposit-free smile requires a comprehensive approach that encompasses good oral hygiene, regular dental check-ups, and a balanced lifestyle. To prevent calcium deposits from forming, it’s crucial to practice consistent oral hygiene, including proper brushing and flossing techniques, and to visit your dentist regularly for professional cleanings. A balanced diet and healthy lifestyle choices also play a significant role in preventing tartar buildup and associated problems like gum disease.
By understanding the causes of calcium deposits and taking proactive steps, you can maintain healthy teeth and avoid more serious conditions that may require extensive treatments, such as a root canal. For more health insights and tips on maintaining optimal oral health, visit zenfitpulse.com. With the right knowledge and consistent care, you can enjoy a lifetime of confident smiles.
FAQ
What are the visible signs of tartar buildup on teeth?
How can I prevent gum disease caused by poor oral hygiene?
Can dietary factors contribute to the formation of calcium deposits on teeth?
What is the difference between plaque and tartar?
How often should I schedule a dental check-up to prevent oral health issues?
Are there any lifestyle changes that can help prevent calcium deposits on teeth?
Can root canal treatment help remove calcium deposits on teeth?
Discover more from zenfitpulse
Subscribe to get the latest posts sent to your email.

